Cabinet dentaire du Dr EINSARGUEIX
Docteur en chirurgie dentaire
Cabinet dentaire du Dr EINSARGUEIX
Docteur en chirurgie dentaire

9 bis Rue ABEL HOVELACQUE
75013 PARIS

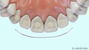
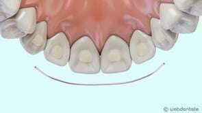
Fil de contention


video-play-icon

Articles similaires

Création par Webdentiste

Connexion